お子さまの歯並びに
こんなお悩みはありませんか?
-
お口ぽかん
口で呼吸している -
常に鼻が
詰まっている -
柔らかいもの
ばかり好んで
食べる -
くちゃくちゃ
食べる -
姿勢が悪い
-
風邪を
ひきやすい -
足をついて
食事をしていない -
指しゃぶりが
やめられない
-
お口ぽかん
口で呼吸している -
常に鼻が
詰まっている -
柔らかいもの
ばかり好んで
食べる -
くちゃくちゃ
食べる -
姿勢が悪い
-
風邪を
ひきやすい -
足をついて
食事をしていない -
指しゃぶりが
やめられない
CONTACT
上記のようなお悩みは
お子さま向けの矯正治療で
治せます!
REASON
当院が選ばれる8つの理由
01
お子さまの成長に合わせて
適切な矯正装置をご提供
小児矯正と一言で言っても、お子さまの口腔内の状況や年齢によって、適切な治療法は異なります。当院では、「歯並びの乱れを防ぐための予防矯正」と「理想的な歯並びを実現する矯正治療」の2つを柱に、お子さまの個々のニーズに合わせた治療を行っています。
\ 選べる矯正装置 /
-
プレオルソ
-
インビザライン
-
ムーシールド
-
拡大床
02
歯並びが悪くなる
原因から改善します!
適切な時期にマウスピース型の矯正装置を装着し、MFT(口腔筋機能療法)によるお口のトレーニングを行うことで、できるだけ抜歯を避けながら、歯並びの乱れや悪習癖の改善が期待できます。さらに、歯並びが悪くなる根本原因にアプローチするため、矯正後の後戻りもほとんど起こりません。
このような
悪習慣を改善します♪
-

呼吸の問題
睡眠時のいびきや口呼吸、ポカンと開いたままのお口などは舌や筋肉の不調和につながり、歯並びが悪くなってしまうことがあります。
-

舌癖などの悪習癖
指しゃぶりや爪を噛む癖、頬杖、歯の裏を舌で押す動作などを長期間続けると、歯並びに影響を与え、乱れの原因になることがあります。
-

お顔全体のバランス
これらの癖を改善することで、歯並びだけでなく、顎の発育を促し、お顔全体のバランスを整える効果も期待できます。
03
経験豊富なドクター
矯正治療の圧倒的な実績
当院は、これまでに多くのお子さまの歯並びを改善してきた豊富な経験を持っています。一人ひとりに最適な治療計画をご提案いたします。成長期の特性を考慮したアプローチで、抜歯を避けつつ理想的な歯並びを実現します。
04
通いやすい環境
当院は、JR京葉線「新浦安」駅から徒歩1分の立地にあり、公共交通機関でのアクセスが非常に便利です。院内はプライバシーに配慮した個室・半個室設計となっており、リラックスした環境で治療を受けていただけます。また、バリアフリー設計を採用しているため、ベビーカーでもスムーズに移動可能です。
-
新浦安駅
徒歩1分 -
個室・半個室設計
-
バリアフリー設計
05
丁寧でわかりやすい
女性歯科医師による
カウンセリングと治療
お子さまにとって、歯科医院は見慣れない機械が多く、恐怖やストレスを感じることもあります。当院では、歯科医師やスタッフ全員が、お子さまに優しく寄り添った対応を心掛けています。お口の状態だけでなく、お子さま一人ひとりと向き合うことを大切にしており、不安やご心配な点があれば、どうぞ遠慮なくご相談ください。
-
06
歯並び治療に特化した
矯正専門医院
当院は歯並び治療に特化した矯正専門医院です。経験豊富なドクターがお子さまの矯正治療を行います。確かな技術と経験で、安心して治療を受けていただけます。
-
07
セファロレントゲンによる
正確な診断
当院では、お子さまの顔面や頭部の状態を詳しく診断できるセファロレントゲンを導入しています。口元は顎や歯の位置によって機能や見た目が大きく異なるため、セファロレントゲンによる精密な診断を行うことで、お子さま一人ひとりに最適な治療計画を立てることができます。
-
08
できるだけ
歯を抜かない治療
永久歯は一度抜いてしまうと再び生えてくることはありません。当院では、できるだけ抜歯を避ける治療計画を立てています。どうしても抜歯が必要な場合には、その理由をしっかりとご説明させていただきます。
小児矯正をご検討の方には
カウンセリングを
実施しております
当院では、お子さまの矯正治療に関するご相談を無料で行っております。お口や歯並びに関するお悩みや矯正治療についての質問、治療を始める際の不安など、どんなことでもお気軽にご相談ください。ご相談の後、必ず当院で治療を受けなければならないわけではありませんので、安心してご利用いただけます。
- お口の状態や
歯並びを
診てほしい - 治療期間や
治療費に
ついて知りたい - メリットや
デメリットを
詳しく知りたい - 他院での
治療が不安で
相談したい
CONTACT
上記のようなお悩みは
お子さま向けの矯正治療で
治せます!
MERIT
小児矯正はメリットが
たくさんあります♪
-


歯を抜かなくても
大丈夫小児矯正では、顎の成長を利用して歯が並ぶためのスペースを確保し、歯並びが悪くなる原因に直接アプローチします。そのため、治療の際に抜歯が必要になることはほとんどありません。抜歯による影響が気になる方でも、安心して治療を受けていただけます。
-


周りの友達にも
気づかれない当院では、取り外し可能なマウスピース型の矯正装置を使用しています。就寝時など、決められた時間だけ装着可能な装置もあるので、日常生活に支障がありません。また、透明で目立ちにくいデザインなので、お友達に気づかれる心配がほとんどありません。
-


悪い歯並びに
戻りにくい顎の成長に合わせた治療を行うことで、歯並びと顎がなじみやすくなり、治療後の後戻りが少ない歯並びを手に入れることができます。また、歯並びが悪くなる根本原因にもアプローチし、指しゃぶりや口呼吸などの気になる習慣の改善もサポートいたします。
-


負担が少なく、
歯並びが整う当院では、歯が生え変わる時期に顎の成長を利用して治療を行うため、痛みが少なく、お子さまの負担を最小限に抑えられます。マウスピース型の矯正装置は薄い素材なので、安心してご利用いただけます。
ORTHODONTIC APPLIANCE
装置について
トレーニングと併用して治療していく
プレオルソ
マウスピース型の装置を使用し、お口のトレーニングを行いながら歯並びが悪くなる癖や原因にアプローチしていきます。お子さまが続けやすいように簡単な3つのステップで行っていただきます。矯正装置は装着時間が少なく、お口のトレーニングも数分間だけなので、無理なく理想的な歯並びが目指せます。
こんな
お口の癖を改善します♪
-
口呼吸
-
舌の正しい位置の習慣付け
-
唇を閉じる力の弱さ
透明で目立ちにくい
インビザライン
ファースト
インビザラインファーストは、乳歯と永久歯が混在する6~10歳くらいのお子さまにお使いいただける矯正治療装置です。歯が並ぶためのスペースを確保しながら大人の歯をきれいに整えることができます。透明で目立ちにくく、痛みや違和感が少ないため、お子さまが安心して使い続けられます。
こんな
お口の癖を改善します♪
-
指しゃぶりや爪を噛む癖
-
舌の悪い位置
-
早期の歯の傾きや交差咬合
トレーニングと併用して治療していく
ムーシールド
ムーシールドとは、お子様の歯並びやかみ合わせの改善を目的としたマウスピース型の装置です。口周りの筋肉を鍛えることで、自然な成長を促進します。就寝時に装着するため、お子様に負担が少なく、楽に続けられるのが特徴です。
こんな
お口の癖を改善します♪
-
反対咬合(受け口)の改善
-
舌の突き出し癖
-
顎関節の過度な緊張
透明で目立ちにくい
拡大床
(かくだいしょう)
拡大床とは、顎の成長を助けて歯がきれいに並ぶスペースを確保するための取り外し可能な装置です。顎が狭く、歯が重なりやすいお子様に使用されることが多く、少しずつ顎の幅を広げることで自然な歯並びを目指します。痛みが少なく、自宅で簡単に使用できるため、成長期のお子様に負担をかけずに治療を進められるのが特徴です。
こんな
お口の癖を改善します♪
-
舌の正しい位置をサポート
-
口蓋の狭窄(せまい上顎)
-
頬杖や片側だけで噛む癖
CONTACT
上記のようなお悩みは
お子さま向けの矯正治療で
治せます!
ORTHODONTIC APPLIANCE
当院で改善できる
歯ならび例
-
ガタガタ
-
出っ歯
-
下顎が出ている
-
すきっ歯
-
噛み合わせの
ズレ -
噛み合わせが
深い -
口が閉じない
お子さまの歯並びの治療は、歯並びが悪くなる
原因の根本から改善することが大切です。
お子さまの歯並びの治療は、
歯並びが悪くなる原因の
原因の根本から改善することが
大切です
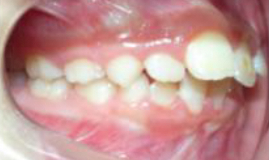
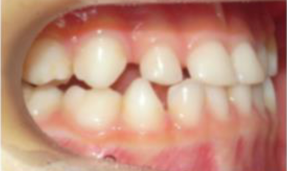
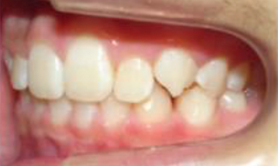
CASE
症例実績ご紹介
FLOW
矯正治療の流れ
-
1
無料矯正相談
お子さまの歯並びが気になる方、小児矯正に興味がある方はまずはお気軽に無料矯正相談をご利用ください。お子さまの歯並びに関してのお悩みをお伺いした上で、治療方法などについて丁寧にご説明させていただきます。不安なことや分からないことがあれば何でもご質問ください。
-
2
資料採取
現在のお口の状態をしっかりと判断するために、レントゲン撮影やお顔・お口の中の写真撮影、歯の型取りなどを行います。
-
3
コンサル
資料をもとに、お子様にどのような矯正治療がオススメかご提案と治療計画をご説明します。
-
4
矯正治療スタート
必要な治療内容や計画について丁寧にご説明いたします。治療にご理解をいただきましたら矯正治療を開始します。1ヵ月に1度を目安にご来院いただき、装置やお口の状態を確認します。
-
5
定期通院、保定
小児矯正治療が終了した後は、きれいになった歯並びが後戻りしないようにメンテナンスを行います。決められた期間は専用の装置を着用していただき、永久歯の萌出を経過観察いたします。また、むし歯などの予防も含めて定期的な通院をお願いしております。
PRICE
治療費について
| 初診相談料 | 0円 |
|---|---|
| 精密検査 | 40,000円 (税込:44,000円) |
| プレオルソ | 150,000円 (税込:165,000円) |
| インビザライン ファースト |
650,000円 (税込:715,000円) |
| ムーシールド | 150,000円 (税込:165,000円) |
| 拡大床 | 500,000円 (税込:550,000円) |
| 調整料 | 5,000円/1回 (税込:5,500円) |
| 保定料 | 30,000円 (税込:33,000円) |
お支払方法
当院ではお振り込み、クレジットカード、
デンタルローンのお支払いに対応しています。
-
分割
-
クレジット
カード -
デンタル
ローン
医療費控除について
医療費控除とは、1年間(1月1日~12月31日)に10万円以上の医療費を支払った場合に受けられる、一定金額の所得控除を指します。ご自身の支払いはもちろん、生計を共にするご家族さまが支払った医療費も対象となります。詳しくは国税庁のホームページをご覧ください。
Q&A
よくある質問
- いつ頃から小児矯正を始めるのがいいですか?
-
一般的には5~6歳(年長から小学低学年)くらいの年齢を目安に小児矯正治療を行うと効果が得られやすいと言われています。
ただしお口の状態には個人差がありますので、まずは一度ご相談ください。
- 小児矯正の装置は痛みを伴いますか?
- 装置装着後に歯が少し動く際に違和感を感じる場合がありますが、ほとんどのお子様は数日で慣れます。痛みが長引く場合は、調整が必要なこともありますので、お気軽にご連絡ください。
- 小児矯正中でもスポーツや楽器の演奏はできますか?
- ほとんどの場合、問題なく続けられます。取り外しが可能な装置であれば、必要に応じて外すことも可能です。また、楽器の種類によって調整が必要な場合がありますので、事前にお知らせください。
- 小児矯正を途中でやめるとどうなりますか?
- 治療を途中で中断すると、歯並びや噛み合わせが悪化する可能性があります。長期的な結果を考慮して、計画的に治療を進めることが大切です。不安がある場合はご相談ください。
GREETING
ご挨拶
お子様に合わせた
矯正の選択肢を
お子様の歯並びや口元の健康は、生涯にわたる健康の土台となります。当院では、お子様の成長に合わせた適切な矯正治療を通じて、健やかな笑顔を守るサポートをしています。ムーシールドや拡大床など、負担の少ない方法で自然な歯並びへと導き、お子様が安心して通える環境づくりを心がけています。小児矯正についてお悩みがありましたら、ぜひお気軽にご相談ください。
略歴
- 日本大学歯学部 卒業
- 日本大学歯学部付属歯科病院
臨床研修 修了 - 日本大学歯学部付属歯科病院
歯科矯正学講座 入局 - Chareles H. Tweed International
Foundation Tweed Study Course 修了
- 日本矯正歯科学会認定医
- 東京矯正歯科学会 所属
- American Association of Orthodontists
- 日本大学歯学部付属歯科病院 歯科矯正科
非常勤医員 - レッドダイヤモンド認定クリニックにて勤務
『歯並びを良くする』ことは
『人生を良くする』こと
歯並びを整えることは、ただ見た目を良くするだけではなく、お子様の健康、自己表現、自信にも大きく影響します。美しい歯並びと健やかな口元は、食事や発音がしやすくなることから、自然と自信を持った笑顔へとつながります。私たちは、お子様一人ひとりの成長に合わせ、将来にわたる健康の基礎を築くお手伝いをしています。お子様の輝く未来のために、小さな一歩から一緒に始めてみませんか?ぜひお気軽にご相談ください。
略歴
- 日本大学歯学部 卒業
- 日本大学歯学部研修診療部 勤務
- 初声歯科クリニック 勤務
- 医療法人社団 AMC 設立
- 日本アライナー矯正歯科研究会 所属
- IDIAアメリカ国際インプラント学会 認定医・専門医・指導医
- インビザライン認定ドクター
- アソアライナー認定ドクター
CLINIC
医院紹介
CONTACT
上記のようなお悩みは
お子さま向けの矯正治療で
治せます!